척추관 협착증
정의
척추의 뼈 또는 연부 조직 구조물(인대, 후방관절 등)이 비대해지거나 자라나는 변화에 의해 척추관이나 신경공이 좁아지는 상태
환자들이 호소하는 증상
- 허리가 아파요
- 엉덩이가 빠지듯이 아파요
- 양다리에 힘이 없어요
- 특히 걸을 때 다리와 엉덩이 부위가 심하게 저리고 당겨요
- 다리가 내 다리 같지 않게 무덤덤하고 시려요
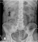
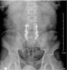
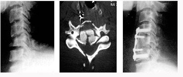
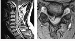
척추관 협착증의 방사선 소견

치료
01보존적 치료
- 안정 : 2일이상의 절대 안정은 피해야
- 약물 치료 : 소염제, 진통제, 근 이완제 등이 사용
- 물리 치료 : 심부 열치료, 초음파 치료, 마사지 등을 하고, 견인 요법은 효과가 떨어진다.
- 경막외 부신 피질 호르몬 주입 : 만일 증상이 호전되지 않고 수술이 곤란한 경우 고려 해 볼 수 있다.
02수술적 치료
수술이 필요한 경우
- 통상 허리와 다리의 통증으로 자기 스스로? 영위하는 삶이 만족스럽지 못할 때 즉 보존적 치료로 효과가 없거나 하지 마비의 증상이 생긴 경우
- 말초 신경 증상이 심하고 특히 근력이 약해질 때
- 심한 신경학적 파행에 따른 보행 장애로 생활에 지장이 있을 때
수술의 목표
좁아진 척추관을 넓혀 줌으로써 좁아진 척추관 내에서 오랫동안 압박된 신경을 풀어 주는 것이며 이를 신경 감압술이라고 하고 가장 중요한 부분
수술 방법 (Treatment)
단순 감압술 : 후방 관절의 유합없이 후방 감압만 시행
- 출혈이 적다
- 수술 시간이 짧다
- 정상 조직의 손상이 적다

후외방 유합술(Posterlateral fusion) : 광범위한 후방 감압술 후 척추 외측에 있는 후관절과 횡돌기 간의 유합을 얻는 것.
- 충분한 감압을 얻을 수 있다.
- 신경 손상의 위험이 적다

후방 요추체간 유합술 (PLIF) : 광범위한 후방 감압술 후 추간판(디스크)을 제거한 후 골이식을 시행하여 추체간 유합을 얻는 것
- 후외방 유합술에 비해 절개가 적다
- 신경근에 대한 충분한 감압이 이루어진다
- 추간판(디스크)로 인한 동통 및 재발이 없다
- 추간판 높이를 정상으로 회복시켜 준다
- 척추 정렬을 정상으로 회복시켜 준다
* 현재에는 최소 침습적인 방법으로 적은 절개를 통해 가능하다

전방 요추체간 유합술 (Anterior Lumbar Interbody Fusion)
- 수술시 출혈이 적다.
- 수술 창상이 적다
- 수술 후 조기보행이 가능
- 수술 후 인접 척추체에 영향이 적다
