
정형외과
목디스크, 거북목증후군, 측만증, 허리디스크, 척추전방전위증, 척추관협착증
어깨회전근개파열, 충돌증후군, 재발성탈구, 오십견, 관절와순파열, 석회화건염, 퇴행성관절염
팔꿈치테니스엘보, 골프엘보, 석회화건염, 퇴행성관절염
수부 (손, 손목)손목터널증후군, 삼각섬유연골파열, 척골충돌증후군, 결절종, 방아쇠수지, 퇴행성 및 류마티스관절염
엉덩이퇴행성관절염, 대퇴골두무혈성괴사, 노인성골절
무릎퇴행성관절염, 반월연골판파열, 전후방십자인대파열, 관절연골결손
발목발목염좌, 발목인대파열, 발목연골결손, 퇴행성관절염, 충돌증후군, 아킬레스건염
발무지외반증, 족저근막염, 내향성발톱
종양연부조직종양, 골종양, 악성종양
전문센터척추센터, 관절센터, 스포츠의학센터, 스포츠운동치료센터
전문클리닉척추클리닉, 인공관절클리닉, 관절경클리닉, 수부미세수술클리닉
인공관절 클리닉 소개
안녕하세요. 좋은삼선병원 인공관절 클리닉입니다.
많은 사람들이 고통을 호소하고 있는 무릎 관절이나 고관절(엉덩이 관절) 관절염은 거동이 힘들어지고 생활에 많은 불편함을 주는 대표적인 관절 질환입니다.
관절 질환을 가볍게 여기고 시일이 경과하면 관절마디가 굳거나 휘어서 관절을 사용할 수 없게 되고 장애가 되기도 합니다. 본원의 인공 관절 클리닉은 이러한 심한 관절 질환의 최종 단계에서 자기 관절을 못쓰게 될 경우 인공 관절로 전환하여 일상 생활을 원활히 영위할 수 있도록 도와 드리며, 다양한 경험을 바탕으로 최신의 인공 관절 기구와 수술법을 사용하여 환자분의 만족도를 향상시키고 있습니다.
문의 : 좋은삼선병원 정형외과 051)310-9267
인공 관절 수술(Artificial Joint Surgery)이란?
인공 관절은 무릎이나 엉덩이 관절 등 주요 관절 부위에 질환이나 외상 등으로 일상 생활이 힘들 정도로 심한 손상이 발생한 경우나 장애가 심해 약물 요법이나 물리 치료 등에 반응하지 않는 경우에 특수 합금과 고분자 재료로 만들어진 인공 관절을 삽입하여 동통을 줄이고 관절 운동이 가능하도록 해 일상 생활을 편안하게 영위하도록 도와주는 최신 수술 방법입니다. 인공 관절 수술은 통증 없이 잘 움직일 수 있는 관절을 새로 만들어 준다는 점에서 정형 외과의 꽃이라 할 수 있는 수술로써, 오랜 기간 동안 꾸준히 연구되어 정상 관절에 가깝도록 만들고자 하는 노력으로 기능 및 내구성이 인체 공학에 가깝게 개선되어 왔습니다. 일부 잘못 알고 계신 분들이 인공 관절 수술을 하면 병신이나 뻐등다리가 된다든가 하는 말씀을 하시는데 이것은 수술후 생길 수 있는 합병증을 극단적으로 표현한 말입니다. 이러한 비율은 극히 미미합니다. 인공 관절 수술로 얻는 삶의 즐거움은 수술 부작용이나 문제점과는 비교도 되지 않을 정도로 클 뿐 아니라 인공 관절의 발전 속도는 놀랄만한 정도이기 때문에 관절 질환의 정복도 멀지 않아 보입니다.
본원에서는 최신의 수술 기법과 인공 관절 기구(최소 절개 수술법, 대형 세라믹 대퇴 골두 치환술, 고도굴곡형 인공 슬관절 치환술)를 사용하여 연간 200명 이상의 환자들에게 통증없는 생활로의 전환을 도와드리고 있습니다.
1995년 개원 이후 본원에서 시행된 인공 관절 수술은 2000례를 넘어섰고 이는 국내 어느 병원과 비교해도 손색이 없는 수준에 이르렀음을 보여줍니다.
심한 변형과 함께 동반된 퇴행성 관절이나 괴사 등에 의해 나타나는 통증으로부터 관절을 해방시켜 누구나 인생을 즐겁게 살 권리는 이제 인공 관절로 눈 앞에 실현되고 있습니다.
인공 관절 수술의 종류
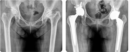
인공 고관절(엉덩이) 치환술이란?

우측 퇴행성 고관절염 및 좌측 선청성 고관절 변형
- 32mm 대형 세라믹 골두 인공 고관절 전치환술 및 자가골 이식술 시행
인공 고관절 치환술의 적응증
경험이 충분한 전문의사의 경우 간단한 인공 관절의 경우 약 1시간 30분에서 2시간 정도 걸리며 심한 기형을 동반한 경우나 인공 고관절 재치환술의 경우 2~3배의 수술시간이 걸리게 됩니다.

수술 후 경과는 대개 수술 후 2주 이내에 목발 보행이 가능하고 수술 후 3개월 까지는 목발의 사용이 필요합니다. 그러나 심한 기형으로 근육 연장술, 골단축술 등을 시행한 경우에는 골유합 기간과 근력회복 등의 치료때문에 경과가 늦어지게 됩니다. 그리고 수술 후 약 3~6개월 정도 지나면 정상에 가까운 보행이 가능합니다. 수술 후에 단기적으로 생길 수 있는 합병증으로는 감염, 혈전증, 탈구 등이 있을 수 있습니다. 수술 후 회복이 되고 충분한 기간이 지난 후에 장기적으로 생길 수 있는 합병증으로는 인공 관절의 해리, 즉 인공 관절이 뼈에서 고정이 이완되고 마모되는 현상입니다. 삽입된 인공 관절을 사용할 수 있는 기간은 평균 10~15년 정도 입니다. 대개 15년 사용후에 20% 정도에서는 재치환술의 대상이 되고 있습니다. 젊은 사람 일수록 활동량이 많고, 오랜 기간 동안 관절을 사용하여야 하기 때문에 인공 관절의 수명은 짧을 가능성이 많아서 마모가 적고 마찰개수가 적은 제품(세라믹 인공 관절)을 사용하여야 재수술의 빈도를 줄일수가 있습니다. 그러나 인공 고관절의 수명이란 꼭 10년 또는 15년이라고 단정 지을 수 없고 쓰는 사람이 얼마나 무리가 가는 행동을 하지 않고 조심스럽게 사용하느냐에 따라서 더 연장될 수도, 더 단축될 수도 있으리라 생각됩니다.
인공 슬관절 치환술이란?
인공 고관절 전치환술이 발달하고 결과가 좋아지면서 자연히 관절 마모가 심한 슬관절에도 인공 관절 치환술이 시행되어져 현재 많은 성공적인 디자인으로 좋은 결과를 보이고 있습니다.
인공 슬관절 치환술의 적응증

인공 슬관절 전치환술은 슬관절 통증이 일상 생활을 할 수 없을 정도로 심하거나 통증 때문에 보조 기구를 사용해야 걸을 수 있는 사람, 슬관절 통증이 휴식과 상관없이 종일 지속되는 사람, 휴식을 취하거나 약을 복용해도 만성적인 염증이나 부종이 거의 감소되지 않는 사람, 무릎이 안쪽 또는 바깥쪽으로 구부러져 변형이 심한 사람, 무릎이 뻣뻣하고 무릎을 구부리거나 완전히 펴기 힘든 사람에게서 초기에는 통증 감소에 효과가 있던 비스테로이드성 약물(이부프로펜, 아스피린 등)이 이제는 더 이상 효과가 없는 사람, 진통제를 먹으면 위장장애가 너무 심하고 합병증으로 생활하기 힘든 사람들에게서 물리치료와 같은 다른 치료 요법이 효과가 없을 때 수술을 시행합니다. 인공 슬관절 치환술을 받은 환자들의 90%이상이 먼저 현저한 통증 감소와 변형의 교정 그리고 힘들었던 일상생활이 보다 편안하고 자유로와짐을 느낍니다. 산책, 수영, 골프, 운전, 가벼운 등산, 가벼운 자전거 타기 등의 활동을 거의 통증 없이 수행할 수 있습니다. 인공 관절의 특징으로 환자는 수술 상처 부위의 피부 감각이 다소 무뎌졌음을 느낄 수 있습니다. 또한 과도하게 관절을 구부릴 때에 약간 뻣뻣한 감을 느낄 수도 있고, 무릎을 완전히 꿇는 것은 불편하지만 점차 가능해집니다. 때때로 무릎을 구부리거나 펼 때 금속과 플라스틱이 부딪히는 소리가 날 수도 있으나 시간이 지날수록 감소되며, 수술 전에 겪었던 통증이나 기능 장애에 비하면 조그마한 문제에 지나지 않습니다. 수술 후 규칙적으로 가벼운 운동 프로그램에 반드시 참가하여, 근력을 강화시키고 인공 관절이 신체에 잘 적응되도록하고 낙상과 상해 방지를 위해 각별히 조심해야 합니다. 치아 검진을 받을 때 반드시 인공 관절 수술한 것을 말해주어야 사전에 항생제를 복용하여 예상되는 감염을 막을 수 있습니다. 정기적으로 병원을 방문하여 정형 외과 의사의 검진을 받아야 합니다. 대개 60세 이상의 나이에 X-선상에서 연골이 완전히 닳아 없어져 뼈와 뼈끼리 부딪히는 상태에서는 거의 통증이 약으로는 조절이 안되며 걸을 때 심하게 아프다고 호소합니다. 이런 경우에 인공 슬관절 치환술을 시행하여 휜다리를 바로 잡아주고 마모된 연골을 인공 대치물로 바꾸어 주면 통증이 사라지고 정상적인 보행을 가능하게 하여 줍니다. 무릎 인공 관절의 수명은 과거에는 5~10년 정도 후에 반드시 재수술을 해야 한다고 했으나, 현재는 그보다 더 오랜기간까지도 사용이 가능한 것으로 알려져 있으며, 인공 관절의 수명 때문에 수술을 꺼릴 필요는 없다고 봅니다. 수술 후 다음날(한쪽 다리만 수술했을 경우) 무릎을 굽혔다 폈다 할 수 있도록 만들어진 기계를 통해 환자 스스로 움직이는 연습을 시작할 수 있습니다. 양쪽 다리를 모두 수술한 경우에는 수술 후 이틀째부터 시작합니다. 걷는 연습은 한쪽다리의 경우 2~3일째부터, 양쪽 다리는 5~7일째부터 연습을 시작합니다. 퇴원은 한쪽다리의 경우는 수술 후 2주, 양쪽 다리의 경우는 3~4주경 입니다. 퇴원 시에는 목발이 없이도 정상인과 비슷한 보행을 할 수 있게 됩니다. 수술 후 3개월까지는 병원에서 준 약을 복용해야합니다. 퇴원 후 대게 1~2개월까지는 붓고 열감이 있으므로, 붓기를 가라앉히기 위한 얼음 찜질을 하고, 물리치료도 좋지만 순환을 위해 자주 목욕탕에 가는 것이 좋습니다. 목욕 후에는 역시 얼음 찜질을 해야 합니다. 붓기가 가라앉고 열감이 없으면 온찜질을 하고, 술은 3개월까지 삼가하고 미끄러지거나 넘어지지 않도록 주의 해야합니다.

인공 견관절(어깨) 치환술이란?
우리나라에서 많이 시행되고 있지는 않지만 점차 견관절부 퇴행성 관절염이 증가하고, 운동시 통증을 견디기 힘들 때 시행하던 견관절 유합술이 너무 견관절 운동 제한을 가져와 고관절, 슬관절에 이어 점차로 인공 관절 사용이 늘어가는 추세입니다.
인공 견관절 치환술의 적응증

인공 주관절(팔꿈치) 치환술이란?
현재 많이 사용되지는 않지만 주관절부 외상성 및 퇴행성 관절염이 증가하고 많은 환자가 종례의 주관절 유합술의 완전 강직상태에 대한 불만이 높아감에 따라 점차로 주관절 인공 관절 치환술에 대한 관심도 높아지고 있는 추세입니다.

인공 족관절(발목) 치환술이란?
과거 여러 가지 형태로 시도되었으나 체중부하에 따른 과도한 마모 및 불안정성의 빈발로 기구의 이완이 큰 문제가 되었고 족관절부 완전 유합술의 결과가 상대적으로 좋아서 각광 받지 못하였으나, 최근 마모에 내구성이 강한 재료들의 발전과 불안정성의 빈발에 대한 디자인의 획기적인 발달로 현재 외국에서 점차 증가하고 있고 앞으로 많이 발달하고 있는 분야 입니다. 그외의 인공 관절이 시도되고 있는 부위로는 완관절(손목), 수지관절 치환술, 인공 추간판 삽입술 등이 있습니다.
자주 묻는 질문
비용 및 입원 기간은?
현재 모든 인공 관절 수술은 의료보험이 적용되며(입원시본인 부담 20%), 약 2~3주 정도의 입원이 필요합니다(보행 연습 및 수술 상처 치료후 퇴원).
* 자세한 내용은 전문의와 충분히 상의하십시오.
걷는데 걸리는 기간은?
인공 관절 수술 후 바로 다음날부터 보행을 시작할 수 있으며 퇴원후 일정기간까지는 목발이나 보행 보조기 사용이 필요합니다. 근력강화에 도움이 되는 가벼운 운동을 꾸준히 하는 것이 좋으며 혈액 순환을 위해 목욕탕에 자주 가되 미끄러지지 않도록 조심해야 합니다.
인공 관절 수술후 운동도 할 수 있나요?
인공 관절 수술 후 바로 다음날부터 보행을 시작할 수 있으며 퇴원후 일정기간까지는 목발이나 보행 보조기 사용이 필요합니다. 근력강화에 도움이 되는 가벼운 운동을 꾸준히 하는 것이 좋으며 혈액 순환을 위해 목욕탕에 자주 가되 미끄러지지 않도록 조심해야 합니다.
인공 관절에 수명이 있다는데요?
인공 관절의 수명을 좌우하는 부분을 주로 관절을 이루는 삽입물의 재질로써, 초창기부터 최근까지 사용되온 폴리에틸렌이란 플라스틱 종류의 고분자 물질은 과다 사용시 마모가 빠른 문제로 10년 정도 지나면 인공 관절을 바꿔줘야하는 문제가 있었습니다. 그러나 최근 10년전부터 마모가 거의 없이 반영구적으로 사용할 수 있는 세라믹 재질의 인공 관절이 개발되어 널리 사용되면서 이러한 문제가 해결되어가고 있어 조심해서 사용시 20년 이상의 수명을 예상하고 있습니다.
척추클리닉 소개
안녕하세요. 좋은삼선병원 척추클리닉입니다.
다양한 척추 질환은 삶의 질을 떨어뜨리고 생활에 많은 불편함을 주는 대표적인 정형외과 질환입니다. 좋은삼선병원 척추클리닉에서는 정확한 진단을 바탕으로 적절한 시술과 치료를 통하여 환자분의 일상생활 복귀에 최선을 다하고 있습니다.
문의 : 좋은삼선병원 정형외과 051)310-9267
추간판 탈출증(목 디스크)
01연성 추간판 질환 ( 목 디스크)
경추 추간판의 탈출에 의해 신경이 눌려 발생
환자들이 호소하는 증상
연성 추간판 탈출증의 방사선 소견

02경성 추간판 질환(Hard disc herniation)
경추의 퇴행성 변화에 의한 골극 형성으로 신경근이 압박
경성 추간판 질환의 방사선 소견

경추 추간판 탈출증의 비수술적 치료
약물 요법
소염 진통제,근이완제.항우울제
물리치료 및 재활치료
2일이내의 안정
Disadvantages of prolonged inactivity
loss of bone mineral content
diminished muscle strength
경추 추간판 탈출증의 수술적 치료

경추 척수증
경추 척수증의 정의
목뼈 속을 지나는 신경 즉 척수(뇌에서 나와서 팔,다리 즉 사지로 가는 신경 다발로서 뇌와 같은 중추 신경)가 압박을 받아서 나타나는 증상
환자들이 호소하는 증상
경추 척수증의 원인
척수를 압박하는 병변이 있는 경우 발생 가능
감별하여야 할 질환
뇌혈관 질환(중풍,풍)
척수증의 경우 손놀림이 부자연스러워지고 어눌해지며 보행도 하지 근력의 약화로 장애가 나타나므로 중풍과 척수증은 구별이 쉽지 않음. 하지만 두 질환의 치료방법이 완전히 다르므로 반드시 정확하게 구별하여야 함
후방 종인대 골화증(OPLL)의 방사선 소견

경추 척수증 전방 수술적 치료

경추 척수증 후방 수술적 치료

경추 손상
경추 골절
원인
교통사고, 추락 또는 낙상, 운동 경기 등에 의하여 80%가 발생하며 최근 증가하는 추세
척추 손상의 진단의 지연이 비교적 자주 발생하는 이유
의식 상실, 다발 손상, 음주 및 약물 중독이 주로 원인
척수 손상은 10-25%에서 동반
척수는 중추 신경계로서 척추의 골절이나 탈구가 일어날 때 손상되면 회복을 기대하기 어렵고, 합병증에 대한 치료와 간호를 위해 많은 인력, 시간 및 비용이 평생동안 소요되므로 사회, 경제적으로도 문제가 크며 특히 경추부 척추 손상은 자활 능력이 거의 없는 사지 마비를 의미하기 때문에 전신 및 구조적 합병증의 발생을 예방하고 조속한 재활을 위하여 적절한 치료 지침이 필요
전방 수술법

후방수술법

흉요추부 질환
요통 (low back pain)
원인
허리의 구조
요추부 추간판 탈출증
정의
여러 가지 원인으로 추간판(디스크)이 밀려 나와 신경근을 누르는 질환
환자들이 호소하는 증상
진단
치료
01비수술적 치료
02수술적 치료
추간판 절제술 : 표준 수술법으로 탈출된 디스크를 직접 제거하는 방법
내시경을 이용한 추간판(디스크) 절제술
수핵 성형술(Nucleoplasty)

척추관 협착증
정의
척추의 뼈 또는 연부 조직 구조물(인대, 후방관절 등)이 비대해지거나 자라나는 변화에 의해 척추관이나 신경공이 좁아지는 상태
환자들이 호소하는 증상
척추관 협착증의 방사선 소견

치료
01보존적 치료
02수술적 치료
수술이 필요한 경우
수술의 목표
좁아진 척추관을 넓혀 줌으로써 좁아진 척추관 내에서 오랫동안 압박된 신경을 풀어 주는 것이며 이를 신경 감압술이라고 하고 가장 중요한 부분
수술 방법 (Treatment)
단순 감압술 : 후방 관절의 유합없이 후방 감압만 시행

후외방 유합술(Posterlateral fusion) : 광범위한 후방 감압술 후 척추 외측에 있는 후관절과 횡돌기 간의 유합을 얻는 것.

후방 요추체간 유합술 (PLIF) : 광범위한 후방 감압술 후 추간판(디스크)을 제거한 후 골이식을 시행하여 추체간 유합을 얻는 것

전방 요추체간 유합술 (Anterior Lumbar Interbody Fusion)

척추 전방 전위증
정의
추체가 아래 추체에 대하여 전방으로 전위된 상태. 선천성과 후천성이 있다.
환자들이 호소하는 증상
수술적 치료

측만증 (scoliosis)
정의
허리가 S자형으로 휘어지는 척추의 변형으로 골반이나 어깨의 높이가 서로 다르거나 몸통이 한쪽으로 치우쳐 보이는 것이 특징
환자들이 호소하는 증상
수술적 치료
골다공증 (Osteoporosis)
정의
나이가 들어감에 따라 척추에 무기질 등이 빠져나가 이로 인해 동통이 오고 심해지면 골절이 동반될 수도 있다
보존적 치료
수술적 치료
최근의 골절로 인해 동통이 지속되는 경우 후만 성형술 (kyphoplasty) 또는 척추 성형술 (vertebroplasty)
골다공증이란?
나이가 들거나 폐경기 이후에 이유없이 여러 관절이나 허리의 통증이 빈발하게 나타납니다. 넘어지거나 하는 사소한 외상에도 쉽게 뼈가 부러지며, 노년이 되면서 등이 심하게 굽는 분들도 주위에 많습니다. 이런 현상을 단순히 노화현상이라 생각하고 지나치기가 쉽지만 이들 중 많은 경우가 골다공증에 의한 것입니다. 골다공증이란 뼈속에 구멍이 많이 생긴다는 뜻으로, 뼈속에 실제 뼈의 양이 줄어들어 뼈가 약하게 되고 부러지기 쉽게 되는 병입니다. 이런 현상은 칼슘성분이 뼈에서 빠져 나가는 것과 깊은 관계가 있습니다.
문의 : 좋은삼선병원 정형외과 051)310-9267
골다공증의 원인과 증상
골다공증의 원인으로는 칼슘과 단백질의 결핍, 호르몬 장애, 활동량의 감소, 노인성의 원인 등이 있습니다. 뼈가 약한 관계로 인하여 쉽게 골절이 일어나는 것이 가장 중요한 증상입니다. 특히 사소한 움직임으로 요추에 방사선 촬영으로 나타나지 않는 미세한 금이 생기는 경우, 별다른 원인이 없는 심한 요통이 발생합니다. 또 심하게 넘어지지 않더라도 척추의 압박골절이 잘 생겨 허리가 굽어지고 키가 작아지며, 드물게는 하반신 마비를 초래하기도 합니다. 심한 경우에는 척추가 체중을 지탱하지 못해서 외상없이도 척추의 앞부분이 찌그러지게 됩니다. 그 이외에도 여러 관절의 통증이 생기게 됩니다.
골다공증에 걸리기 쉬운 인자
조기 진단의 중요성과 방법
뼈의 특성상 초기에는 특별한 증상이 나타나지 않습니다. 증세 및 방사선 촬영상에 나타나면 벌써 뼈에서 칼슘을 포함한 무기질이 40%이상 손실된 상태이기 때문에 진단이 늦어지고, 많이 진행된 상태에서는 치료도 어렵습니다. 하지만 최근에 컴퓨터 골밀도 측정기가 개발되어 방사선 노출도 거의 없고 저렴하며 간편하게 조기진단을 할 수 있게 되었습니다.

골다공증의 예방
일단 골 손실이 심해지면 치료에 오랜 기간이 필요하므로 무엇보다 예방이 중요합니다. 뼈를 튼튼하게 유지하기 위해서는 젊은 시절부터 칼슘 등 고른 영양섭취와 매일 적당량의 운동으로 뼈에 지속적인 자극을 주는 것이 중요합니다. 또 여성에서는 폐경 이후에 골다공증이 호발하므로 폐경 무렵에는 증상이 없더라도 사전에 골밀도 측정을 하는 것이 바람직하며, 호르몬(에스트로겐)치료를 하는 것이 좋습니다.
골다공증의 치료
칼슘제제, 비타민 D제제, 칼시토닌, 에스트로겐 등의 호르몬 제제 등을 적절히 복합하여 사용하면 진행된 골다공증의 환자에서도 통증은 물론 골절도 예방할 수 있습니다
| 식품명 | 칼슘 | 식품명 | 칼슘 | ||
|---|---|---|---|---|---|
| 유제품 | 우유 | 100 | 어패류 | 대하 | 234 |
| 탈지분유 | 1,100 | 방어 | 350 | ||
| 요쿠르트 | 100-200 | 바지락조개 | 217 | ||
| 치즈 | 630 | 굴 | 148 | ||
| 곡류 | 백미(현미) | 24(41) | 동태 | 233 | |
| 팥 | 124 | 멸치조림 | 2,200 | ||
| 녹두 | 189 | 산천어 | 1,100 | ||
| 두류 | 검정콩 | 213 | 유지 및 종실류 | 참깨 | 630 |
| 흰콩(대두) | 127 | 아몬드 | 254 | ||
| 두부 | 180 | 호두 | 130 | ||
| 유부 | 300 | 해초류 | 파래 | 403 | |
| 비지 | 103 | 김구이 | 410 | ||
| 야채류 | 무청잎 | 160 | 미역(생) | 457 | |
| 고추 | 710 | 미역(건) | 720 | ||
| 파세리 | 190 | 다시마 | 680 |
"할머니가 화장실에서 주저 앉으신 후 엉덩이가 아프다면서 걷지를 못하세요"
"술 많이 드시는 삼촌이 엉덩이를 아파하고 절면서 걸어요"
"시어머님 무릎이 오다리로 휘어져서 걸을 때마다 아프시다고 해요"
"축구 헤딩하고 착지하다가 무릎이 돌아갔는데 바로 붓더니 못 걷겠어요"
"등산 자주하는 엄마 무릎이 자주 붓고 시큰거린대요"
"이삿짐 옮긴다고 일하다가 어깨에서 뚝하더니 이후에 팔이 안 올라가요"
"옛날에 유도하다가 어깨가 빠진 적이 있는데 계속 빠져서 불안해요"
"연습장에서 스윙 연습했는데 팔꿈치가 아프네요"
"손가락이 저리고 힘이 빠져서 물건을 자주 놓치네요"
"엄마도 그렇고 저도 그렇고, 엄지 발가락이 휘었어요"
X-ray 검사
가장 기본적인 검사로 관절 상태를 알 수 있습니다.
CT 검사
관절 내 골절도 잘 볼 수 있고 뼈의 상태를 자세히 알 수 있습니다.
근골격계 초음파
힘줄 손상 및 연부 조직을 잘 볼 수 있습니다.
MRI 검사
관절 연골, 인대, 근육 상태를 잘 알 수 있습니다.
등속성 검사
관절의 근력을 평가합니다.
근전도 검사
신경 상태 및 손상 여부를 알 수 있습니다.
무릎골관절염 유전자 세포 주사 치료
유전자 세포 주사 치료는 무릎 관절 환경을 개선하여 골관절염 악화 원인을 치료합니다.
유전자 세포 주사 치료제란?
동종 유래 연골 세포를 배양하여 정상 연골세포와 항-염증 작용을 하는 성장인자가 들어있는 연골세포를 주성분으로 하여 무릎 관절염 악화의 원인인 이상 면역 반응을 개선하는 역할을 합니다.
3개월 이상 보존적 치료(약물치료, 물리치료 등)에도 불구하고 증상이 지속되는 중등도 무릎 골 관절염 3기의 치료에 사용됩니다.
유전자 세포 주사 치료는 질병관리본부에 신고된 의료기관에서 시술이 가능한 치료방법으로 좋은삼선병원은 유전자 치료 기관으로 신고되어 있습니다.
왜 유전자 주사 치료가 좋을까요?
무릎관절염 줄기세포이식수술
관절강 절개 및 줄기세포 이식
관절연골결손 → 관절연골재생
줄기세포 이식 후 관절 연골 재생
COPYRIGHT(C) 2017 GOOD SAMSUN HOSPITAL. ALL RIGHTS RESERVED.











